Sommaire – Accès rapide
Lorsqu’un patient avec une avulsion des épines tibiales est initialement vu pour une évaluation en clinique, le médecin demande des radiographies. L’avulsion des épines tibiales se voit sur une radiographie standard, en cas de doute un scanner permet de confirmer le diagnostic. Le médecin peut également ordonner un examen d’imagerie par résonance magnétique (IRM) pour évaluer l’état du LCA et vérifier la présence de lésions à d’autres ligaments du genou, du ménisque ou du cartilage articulaire.
Traitement non chirurgical des arrachements des épines tibiales
Le traitement non chirurgical est proposé aux fractures non déplacées des épines tibiales avec un contrôle radiographique durant la période d’immobilisation
Traitement chirurgical des arrachements des épines tibiales
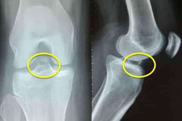
Radiographie montrant un arrachement déplacé des épines tibiales
Quand opérer ?
Quelle anesthésie ?
Phase pré-opératoire sous anesthesie
Phase opératoire
Technique de fixation des épines tibiales arthroscopique par un double-endobutton. L’implant est passé à travers le pavé osseux (flèche jeune). Il se déploie et par une traction externe (flèche rouge), le pavé osseux se plaque au plateau tibial et retend le LCA.
Quelle est la durée d’hospitalisation ?
Quelles sont les suites opératoires ?
Gestion de la Douleur
Après la chirurgie, il est normal de ressentir une certaine douleur. Cela fait partie du processus naturel de guérison. Le médecin fait en sorte de réduire la douleur, notamment pour aider le patient à récupérer plus rapidement de la chirurgie.
Nos patients sont tous inscrits dans un protocole RAC (Récupération Rapide Après Chirurgie) qui consiste à diminuer au mieux la douleur afin d’entreprendre une récupération dès la levée de l’anesthésie. Pour cela les équipes d’anesthésie utilisent tous les moyens à leur disposition :
- Les différents médicaments contre la douleur (tous les paliers possibles)
- La réassurance et l’éducation
- La cryothérapie compressive
- Les blocs ou catheters endormant les nerfs
- L’hypnothérapie
Les médicaments sont souvent prescrits pour le soulagement de la douleur à court terme après la chirurgie. Il est en revanche important de signaler au médecin toute douleur n’ayant pas faibli dans les quelques jours suivant la chirurgie.
La rééducation
Suivi postopératoire de rééducation
Dans les 10 à 14 jours qui suivent la chirurgie, la plaie reste propre et sèche et l’accent est mis sur la récupération de l’extension du genou (redresser complètement le genou l’horizontal) et à rétablir le contrôle du quadriceps.
Le genou est glacé régulièrement pour réduire le gonflement et la douleur. Le chirurgien peut favoriser l’utilisation d’une orthèse postopératoire et l’utilisation d’une machine pour déplacer le genou à travers son amplitude de mouvement. L’utilisation de béquilles est également déterminée par la préférence du médecin, en partie selon les éventuelles autres blessures traitées au moment de la chirurgie.
Habituellement le port des béquilles est recommandé pour aider la marche pendant 3 semaines.
Rééducation
Les objectifs pour la rééducation suite à cette fixation osseuse comprennent la réduction du gonflement du genou, le maintien de la mobilité de la rotule pour prévenir les problèmes de douleur au genou antérieur, la reprise du mouvement du genou, et le renforcement des quadriceps et des ischio-jambiers.
Reprise du sport
Le patient peut reprendre ses activités sportives après l’intégration de l’os dans le corps, lorsqu’il n’y a plus de douleur, lorsque l’amplitude complète du mouvement du genou a été atteinte et lorsque la force musculaire, l’endurance et l’utilisation fonctionnelle de la jambe ont été entièrement rétablies.
Le sens de l’équilibre et le contrôle de la jambe du patient doivent également être restaurés grâce à des exercices conçus pour améliorer le contrôle neuromusculaire. Cela prend habituellement de 3 mois dans ce contexte. L’utilisation d’une attelle fonctionnelle lors du retour au sport n’est idéalement pas nécessaire, mais certains patients peuvent ressentir un plus grand sentiment de sécurité en en portant une.
Complications éventuelles de la fixation des épines tibiales
Infection du genou
La probabilité d’infection après la fixation arthroscopique est très faible (0,1%).
Saignement / engourdissement
Les risques rares incluent le saignement d’une blessure aiguë, et la faiblesse ou la paralysie de la jambe ou du pied. Il n’est pas rare d’avoir un engourdissement de la partie externe de la jambe supérieure à côté de l’incision, qui peut être temporaire ou permanente.
Caillot de sang / Phlébite
Bien que rare, le caillot sanguin dans les veines du mollet ou de la cuisse est une complication potentiellement mortelle. Un caillot de sang peut se rompre dans la circulation sanguine et se rendre dans les poumons, causant une embolie pulmonaire ou au cerveau, provoquant un accident vasculaire cérébral. C’est pourquoi, un traitement préventif par anticoagulant est mis en place en post-opératoire
Instabilité
Une instabilité récurrente due à la détente du LCA refixé peut nécessiter de reconstruire secondairement ce LCA par une autogreffe
Raideur du genou
Des raideurs au genou ou une perte de mouvement ont été observées par certains patients après une intervention chirurgicale. Les raideurs en flexion, peuvent être combattues par une mobilisation du genou précoce sous anesthésie. Les raideurs en extension sont travaillées en kinésithérapie, voir peuvent nécessiter une nouvelle arthroscopie pour nettoyer un tissu fibreux installé en avant du LCA : cette complication reste assez fréquente dans les fixations des épines tibiales.
Douleur au genou
La douleur antérieure du genou en postopératoire est plus fréquente après la reconstruction du ligament croisé antérieur autogreffe du tendon rotulien. L’incidence de cette douleur varie considérablement dans les études.
Trouble de sensibilité cutanée
Après toute intervention sur le genou, des petits rameaux nerveux sont coupés lors de l’ouverture du genou. Cela peut entraîner des pertes de la sensibilité de la surface cutanée (surface plus ou moins importante) qui ne présentent aucun retentissement moteur ou fonctionnel. Ce petit désagrément finit par être “reconnu” par le corps et le cerveau qui s’y habitue et le fait oublier.




