Sommaire – Accès rapide
Définition de la fracture du plateau tibial
Le plateau tibial est fait d’os spongieux, ayant un aspect « en nid d’abeille », et est plus mou que le reste du tibia. Les fractures qui touchent le plateau tibial se produisent lorsqu’une force entraîne l’extrémité inférieure du fémur dans l’os mou du plateau tibial. L’impact provoque souvent la compression de l’os spongieux et son enfoncement. Ces dommages à la surface de l’os peuvent entraîner un mauvais alignement des membres et, avec le temps, contribuer à de l’arthrite, à une instabilité et à une perte de mouvement.
En plus de la cassure de l’os, les tissus mous (peau, muscle, nerfs, vaisseaux sanguins et ligaments) peuvent être blessés au moment de la fracture. L’os fracturé et toutes les blessures des tissus mous doivent être traités ensemble. Dans la majorité des cas, une intervention chirurgicale est nécessaire pour rétablir la force, le mouvement et la stabilité de la jambe, et réduire le risque d’arthrite.
Il existe plusieurs types de fractures du plateau tibial : l’os peut se rompre directement ou en plusieurs morceaux. Parfois, ces fractures s’étendent dans l’articulation du genou et séparent la surface de l’os en plusieurs parties.
Exemple d’une fracture séparation du plateau tibial interne
Causes / facteurs de risques de la fracture du plateau tibial
Les jeunes sont les plus affectés par ces fractures, à la suite par exemple d’une chute de haut, d’un traumatisme lié à la pratique du sport ou d’un accident de la route.
Pour les personnes âgées, dont les os sont abîmés, des blessures de moins grande intensité (chute en marchant par exemple) suffisent.
Symptômes de la fracture du plateau tibial
- Douleur, s’aggravant quand le poids est placé sur la jambe blessée
- Gonflement autour du genou et flexion limitée de l’articulation
- Déformation du genou
- Pied pâle et froid. Peut suggérer un apport sanguin altéré
- Engourdissement autour du pied
Il est nécessaire de se rendre aux urgences si ces symptômes sont ressentis.
Diagnostic de la fracture du plateau tibial
Antécédents médicaux et examen clinique
L’examen clinique consiste en l’examination des tissus mous qui entourent l’articulation du genou. Il vérifie qu’il n’y a pas d’ecchymoses, d’enflure et de plaies ouvertes, et évalue l’état nerveux et l’apport sanguin à la jambe et au pied blessés.
Examens d’imagerie
Radiographie
C’est la façon la plus courante d’évaluer la gravité d’une fracture. Les rayons X peuvent montrer si un os est intact ou cassé. Ils peuvent également révéler le type de fracture et son emplacement dans le tibia.
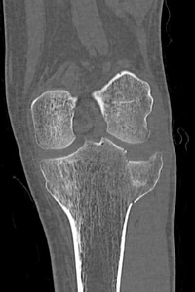
Tomodensitométrie – Scanner
Cet examen peut fournir au médecin des informations précieuses sur la gravité de la fracture et l’aiguiller pour le choix du traitement le plus adapté.
Scanner d’une fracture enfoncement du plateau tibial
L’IRM
Il ne s’agit pas d’un examen de routine pour les fractures du tibia, mais il permet de révéler des lésions complémentaires affectant les tissus mous entourant le genou. De plus, l’IRM est en général prescrite si le patient présente tous les signes d’une fracture du plateau tibial mais que la radiographie ne révèle rien. Lorsque l’os est touché, il y a souvent une réaction dans la moelle osseuse qui peut être détectée grâce à l’IRM.
Autres examens
Parfois, d’autres examens sont effectués pour vérifier l’approvisionnement en sang de la jambe.
Les chirurgies de la fracture du plateau tibial
- Ostéosynthèse de fracture à ciel ouvert
- Ostéosynthèse de fracture sous arthroscopie



